Two Broken Legs… Mid-2020 Review and Update
I’m writing this from my wheelchair.
It’s been just over half a year into 2020 and we’ve all seen quite the ups and downs this year. Here was my most recent doozie.
The Event that Changed My Perspective
On Sunday 07/26/2020, while at a church event with my girlfriend, I went to run. I took three steps and my body turned to rubber. It felt like my feet were walking into quick sand and I lost all control of my body. I hit the ground for a split second and rolled. The entire clip of video, including the pre-run, is less than 17 seconds.
In under 17-seconds, my summer plans changed, financial life took a big hit, and my entire life was placed on hold.
It hurt to walk (was impossible to walk) but it didn’t hurt to sit. So it can’t be that bad.
I went home, expecting I would heal fine, “It’s just a bad bruise” I told my girlfriend... who gave me a sardonic look.
After two days, I still couldn’t walk, so on Tuesday 07/28/2020, my Paramedic-Trained girlfriend and Nurse-Mom decided to force me into the ER, where they took X-Rays and CT Scans, and confirmed Left and Right Medial Tibial Plateau Fractures.
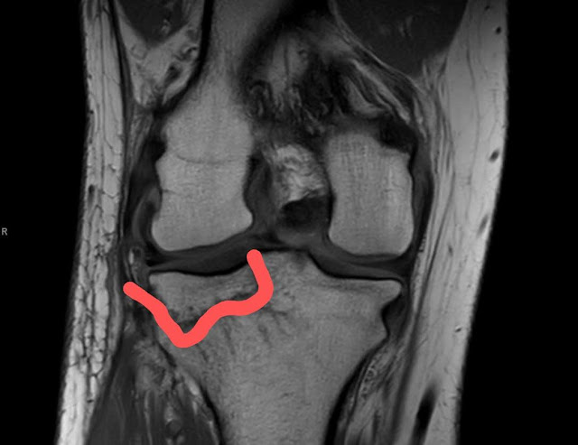
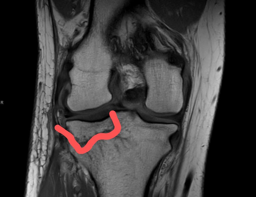
I was referred to an Orthopedic Surgeon who confirmed with MRI (imaged below) that both legs were fractured. On Thursday 08/06/2020, I went into surgery and had three screws placed in each leg, holding the fracture together to heal faster.
Some friends came and built a wheelchair ramp for me, partially donated from a pervious ramp used by a military Vet. Some church men came and shored up the weaknesses in that first build and finished making it functional. Mom, who’d just arrived in town for a planned vacation, extended her trip to help get me back up and running.
We still have no firm answers as to why I fell in the first place. Guesses, ideas, no firm idea. So I’m still living with the wonder “will it happen again?”... and... “What happens next?”
It will be many weeks before I walk upright again, but I’m hoping to use the right leg soon for basic things, we shall see what the doctor says at the follow up next week.
The Realization
I have lived my life as a staunch Libertarian. Anti “Group-Think”. Each person should take responsibility for themselves and pick themselves up and handle their business. Don’t ask me to pay for your stupidity. Don’t steal my money (taxes) to pay for your idiot choices.
From June 25, 2018 to Today, I’ve come to the firm realization, that:
Life is what happens to us while we are making other plans. Allen Saunders: Publishers Syndicate
Things you couldn’t imagine just happen, without warning or provocation.
You’re wife gets pregnant and instead of having a baby, she dies of a simple blood clot at 36. Your financial life and plans are wiped away in an instant. You flounder and fall for two years. Grief, though dealt with and processed in healthy ways, took it’s toll on your body, weakened it, and two years later you physically broke for no good reason.
Now two years after loosing your wife, you’ve begun building a life with a potential future-wife, you find yourself with another life-lesson, sitting in a wheelchair, at a computer, waiting to return to yet another new normal.
The concept of “new normal” is so frequent in your life by now, that you don’t even pause to consider it. You just pick up, dust off, and find a cane with a hooked handle you can use to grab at things you can’t reach, or help you pick your lame leg up off the bed and lower it carefully to the floor. You adjust quickly, to everyone’s surprise but your own.
You’re not surprised. It’s just another “new normal” in a line of “new normal’s” you’ve been tossed in the past few years. Who cares, no use bothering about it. Just figure out how to handle it, and move forward. Because that’s what you’ve been trained to do.
Sometimes, “it” just happens, as Forest Gump told us... and there’s no bootstraps to pull. And all the back-up funds are gone. And all you can do is let other people help... and watch helplessly.
The things you can do, you do.
The things you cannot do, you let someone help you do.
No room for pride, things need to get done. Mission needs to stay on task. You learn to delegate, accept the help, and move forward. Keep moving forward.
I’ve learned interesting things.
We could do better as a society... I’ve learned we have done a horrible job of making life accessible to wheelchairs in many places. Applebee’s and Red Lobster in Coeur d’Alene, Idaho have bathrooms with “handicap stalls” that leave much to be desired if you are wheelchair bound.
Things are hard to reach. Rooms have to be re-arranged. It’s not enough to have a path, you must have turning radius as well. Things you would just get up to grab now become a debate. Is it worth getting up, into the chair, rolling over, using something to knock that down to me, and then wheeling back.… Nah. I’ll just wait until someone walks in.
It took until after surgery to finally agree to use a Urinal by the bed at night. It cut down on trips to the bathroom (big events at night).
We could learn to accept help gracefully... I’ve learned I have to rely on others. My independent streak served me well. I have learned to do many things people didn’t think I could from this chair.
However, I’ve had to hold my tongue and let other people help.
- I sat helplessly, watching multiple people build a ramp in front of my house.
- I sat helplessly, watching people cut my yard.
- I sat helplessly, as people loaded my wheelchair into the back seat of the car. Forced to lift an awkward object I was incapable of helping with, all for my benefit.
- I sat helplessly, as people made food on a stovetop I can’t reach, taking far less time than I would if I tried.
- I sat helplessly, as my mom and girlfriend completed tasks I would rather complete.
- I sat helplessly, as my girlfriend rubbed my dry feet with lotion, and she and my boys put on my shoes for me, to protect my feet for the few moments they touch the ground as I transition from chair to car.
- I sat helplessly, as people did things I usually do for them.
- I sat helplessly, as I allowed a nurse to help me change down to my underwear, and into scrubs, and even put socks on my feet for me. Not as sexy as that sounds, when you wince in pain every time you move the wrong way.
It’s often quoted:
No man is an island, entire of itself; every man is a piece of the continent. John Donne
We could learn to do what we can do... I’ve learned I can do things. I’ve been less surprised by the things I can accomplish; and, more surprised by other’s reactions to them. There are differences between having a hurt foot from Gout and having two broken legs. But there are marked similarities. So as a Gout sufferer, I’m used to adjusting my “norm” for a period. Using a cane to get at things I cannot comfortably reach. Etc.
If there’s a will, there’s a way.
Or, as George Herbert phrased it, in 1640,
“To him that will, ways are not wanting.”
To many raised eyebrows...
- I used my cane to hook under my worse leg, and raise and lower it from places. Even at the hospitals, getting on and off X-Ray, CT Scan, and MRI tables.
- I used my cane to open and closed doors, pull items closed to me, and brace for changes from chair to chair.
- I wheeled around in my chair faster and more dexterously than people expected.
- When I (wrongly and stubbornly) insisted on coming home for two days before going to the ER, I found creative ways to get into the house and around. Braced my legs with braces I already owned for other reasons, used a backless office chair, and two canes which I used like ski-polls to wheel around the house. The lips of doorways were tricky though.
- I shocked the nurses after surgery... They thought they’d need orderlies to get me into the car, but I managed to pull myself up using just my arms.
The real trick... is going to be the next few weeks. Mom’s going home. Kids will leave for school. Girlfriend can’t be here every morning, she has a life too...
Can I get into the car by myself? How do I get the chair into the car without assistance? Etc...
Eventually, that will be a mute point. I will be allowed to attempt walking by 6-8 weeks. But... My mom’s broken leg took her 6 months. It was worse, but, it’s something I should consider as I look forward. What if I have limited mobility for longer than expected? But... I’ve been able to manage, and call for help when needed.
I trust God now... God’s been good, directing me to the right people at each stage. So... here I am. Making no real “plans”. Just taking each step one day at at time. I’m looking into a new internet provider, so I may (or may not) be able to work from home. That’s a potential idea. Either way, I learned to trust God. I learned to trust him when my marriage was restored in 2017, when my marriage died in 2018, when I learned how to single parent throughout 2018-2020. When the woman I thought I’d marry (a potential “chapter two”) left me in 2019. And now, I keep trusting him. This only brings me closer to him. I wish I could stand in front of me in 2016 (at the depth of my midlife crises) and tell him how much we’ve grown.
As I look to the life ahead, I see great potential. I have an amazing life-partner who very well may become my wife someday. I have great kids. I have a supportive Mom and friends. There’s a lot to be thankful for. And I’m focused on that today.
This has been a rambling post. Hopefully, it helped.
Signing off... Goodnight.
Darrell Wolfe













